Článek
Zatímco amyotrofická laterální skleróza (ALS), o níž jsem psal v minulém článku, je naštěstí poměrně vzácná, RS je nejčastějším neurologickým onemocněním mladých dospělých. V České republice jí trpí zhruba 22 000 lidí a každoročně přibývá kolem 700 nových případů, obvykle ve věku mezi 20 a 40 lety, přičemž v této věkové skupině jde o nejčastější příčinu neurologické invalidity.
Mnozí RS znají z příběhů známých osobností – politika Pavla Bělobrádka, fotbalisty Ivana Haška mladšího, hereček Selmy Blair, Christiny Applegate či Teri Garr, nebo Jacka Osbourna, syna legendárního zpěváka Ozzyho Osbourna.
V tomto článku se budu snažit nabídnout srozumitelné a lidské vysvětlení nemoci, která často vyvolává nejistotu a obavy. Pokusím se ukázat, co RS skutečně je a co naopak není.
Co je vlastně roztroušená skleróza?
Název „roztroušená skleróza“ nemusí být na první poslech úplně srozumitelný, ale jeho význam dobře vystihuje hlavní rysy onemocnění.
Slovo „roztroušená“ odkazuje na typický znak nemoci, kterým jsou ložiska (plaky) rozesetá v různých částech mozku a míchy. Tato ložiska vznikají jako zánětlivá a při jejich hojení často dochází ke zjizvení a ztvrdnutí tkáně, tedy k procesu označovanému jako skleróza.
Zjednodušeně lze říci, že RS je onemocnění, při kterém imunitní systém napadá a poškozuje ochranný obal nervových vláken v mozku, míše a zrakových nervech. Tím vznikají rozptýlená („roztroušená“) jizevnatá ložiska, která narušují plynulý přenos nervových signálů a mohou způsobovat nejrůznější neurologické potíže.
Na rozdíl od ALS, která primárně postihuje motorické nervy a omezuje tak hybnost, RS může ovlivnit prakticky jakoukoli funkci nervového systému, od pohybu, citlivosti, zraku, ovládání močového měchýře, rovnováhy až po kognitivní schopnosti.
Imunitní systém, který se obrátí proti vlastnímu tělu
Podívejme se nyní na mechanismus RS podrobněji. Jak bylo uvedeno výše, klíčem je chybná reakce imunitního systému, která se obrací proti vlastním tkáním centrální nervové soustavy. Konkrétním cílem tohoto útoku je myelin – tukový obal nervových vláken, který urychluje vedení nervového signálu a zároveň funguje jako izolace bránící jeho rozptýlení. Při jeho poškození nebo ztrátě (což nazýváme demyelinizací) se přenos signálů zpomaluje, stává se neefektivním, nebo může být přerušen. Po odeznění zánětu se některá místa mohou postupně zjizvit, což dlouhodobě ovlivňuje funkci postižených nervových drah. Srozumitelné schéma vidíme na obrázku níže:

Základní mechanismus roztroušené sklerózy: imunitní zánět a tvorba ložisek
S postupem onemocnění se často přidává neurodegenerace, tedy poškození a ztráta samotných nervových vláken a neuronů. Zatímco poškozený myelin může být do určité míry obnoven, ztráta axonů a neuronů je obvykle trvalá. Tato neurodegenerativní složka je významným faktorem, který přispívá k trvalému neurologickému postižení, zejména v pozdějších fázích RS, kdy symptomy mohou přetrvávat i po odeznění aktivního zánětu.
Jak se roztroušená skleróza projevuje?
Když víme, co se v nervové tkáni při RS děje, můžeme si lépe představit, proč má nemoc tak rozmanité projevy. Příznaky vždy závisí na tom, kde se v mozku nebo míše ložisko objeví, protože jinak se projeví postižení míšních drah, zrakového nervu a nebo oblastí zodpovědných za rovnováhu či hybnost. Proto může RS začít velmi nenápadně a její symptomy se mohou objevovat a zase na čas vymizet.
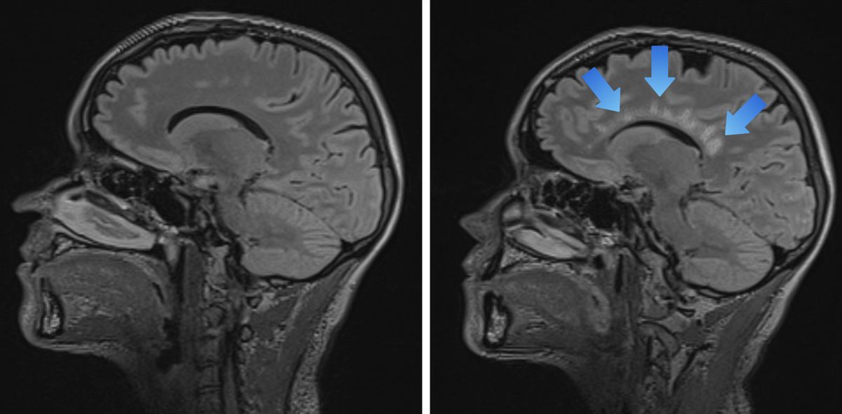
Pro diagnostiku RS je zcela klíčové vyšetření magnetickou rezonancí (MR), které jedinečným způsobem zobrazuje typická ložiska, jak je vidět na snímku vpravo níže (foto skutečného ložiska v mozku případně na mém Instagramu):

Vlevo normální nález, vpravo označují šipky typická ložiska, označovaná jako „Dawsonovy prsty“ (světlá místa).
Mezi časté počáteční projevy patří poruchy zraku, například rozmazané či dvojité vidění nebo bolest za okem typická pro zánět zrakového nervu. Objevovat se může také necitlivost či brnění v končetinách, trupu nebo obličeji, jednostranná slabost, potíže s rovnováhou a koordinací a také výrazná únava, která bývá nepřiměřená i malé zátěži. U některých pacientů se brzy objevují také potíže s močením, například naléhavé nucení, časté nebo naopak obtížné močení.
U většiny lidí má RS zpočátku tzv. relabující‑remitující průběh. To znamená, že se střídají období zhoršení a zlepšení. Ataka nastává ve chvíli, kdy se vytvoří nové aktivní ložisko v místě, které dosud postiženo nebylo, nebo se znovu „rozhoří“ ložisko starší. Když se to stane v oblasti zodpovědné třeba za hybnost nohy, pozná to pacient jako její slabost; pokud se objeví v oblasti zrakového nervu, projeví se poruchou vidění, a tak dále.
Jakmile zánět časem odezní, přichází remise, tedy období zlepšení. Někdy se nervovým vláknům podaří obnovit část myelinového obalu, takže příznaky ustoupí téměř úplně. Jindy přetrvává určitý deficit, právě pokud se ložisko zhojilo jizevnatou změnou.
Průběh nemoci se může u každého člověka vyvíjet trochu jinak, ale obecně rozlišujeme tři hlavní formy. Nejběžnější je relabující‑remitující RS, která tvoří zhruba 85 % všech nových diagnóz. Typické je pro ni střídání atak (relapsů) a následné remise, kdy se stav částečně nebo úplně zlepší. Tento průběh je pro počáteční fázi nemoci nejobvyklejší.
U části pacientů se však tato forma může časem změnit v sekundárně progresivní RS. V takovém případě už se příznaky neobjevují ve vlnách, ale stav se pozvolna a trvale zhoršuje, ačkoli někdy jen velmi pomalu. Nejde tedy o jednotlivé ataky, ale o pomalu narůstající postižení funkcí.
Asi u 10–15 % nemocných se RS od samého začátku projevuje jako primárně progresivní forma, která se vyznačuje plynulým a dlouhodobým zhoršováním bez zřetelných relapsů a remisí. Poškození postupuje sice pomalu, ale soustavně.
Kdo je ohrožen nejvíce?
RS není dědičné onemocnění v klasickém smyslu, protože neexistuje jeden gen, který by nemoc způsoboval. Přesto víme, že genetická výbava riziko ovlivňuje, protože pokud má člověk v rodině blízkého příbuzného s RS, jeho pravděpodobnost onemocnění stoupá na přibližně 2-5 %, což je významně více než 0,1-0,2 % v běžné populaci.
Nemoc se nejčastěji objevuje mezi 20. a 40. rokem života, přičemž ženy onemocní přibližně dvakrát až třikrát častěji než muži. Svou roli zde hrají hormonální vlivy, odlišná reaktivita imunitního systému i některé genetické rozdíly související s chromozomem X. Přestože ženy mají vyšší pravděpodobnost, průběh nemoci u nich bývá obvykle pomalejší a častější je forma s atakami a následným zlepšením. U mužů, kteří tvoří menšinu pacientů, se naopak častěji objevuje progresivní forma, která může mít rychlejší a těžší průběh. Zjednodušeně řečeno: ženy onemocní častěji, ale muži mívají častěji závažnější vývoj nemoci.
Výskyt roztroušené sklerózy není na světě rovnoměrný. Nejčastěji se vyskytuje v severských zemích, Kanadě, Skotsku nebo na Novém Zélandu, zatímco v oblastech blízko rovníku je její výskyt výrazně nižší. Jedním z možných vysvětlení je rozdílné množství slunečního záření a s ním spojená tvorba vitaminu D, jak bude blíže popsáno níže. Důležitým podpůrným argumentem jsou zde migrační studie: pokud se člověk přestěhuje do jiné země ještě před dospíváním, jeho riziko RS se časem přiblíží riziku nové domoviny. To naznačuje, že v raném období života hrají klíčovou roli faktory prostředí, jako jsou například prodělané infekce, klima, životní styl nebo právě hladina vitaminu D.
Možné spouštěče a rizikové faktory
Přesná příčina RS zatím není známa, současné poznatky však ukazují na kombinaci genetické predispozice a vlivů prostředí. Onemocnění pravděpodobně vzniká tehdy, když se u geneticky vnímavého jedince setká více rizikových faktorů, které naruší regulaci imunitního systému.
Jedním z nejvýznamnějších faktorů prostředí je vitamin D a expozice slunečnímu záření. Vitamin D se tvoří v kůži působením slunce, má regulační účinek na imunitní systém a jeho dlouhodobý nedostatek je považován za důležitý rizikový faktor vzniku RS.
Dalším zvažovaným faktorem jsou infekce, zejména virové. Nejčastěji se v této souvislosti zmiňuje virus Epstein–Barrové (EBV), který způsobuje infekční mononukleózu. Výzkumy ukazují, že téměř všichni pacienti s RS mají protilátky proti EBV, zatímco v běžné populaci je tento podíl přibližně 90–95 %. Tento rozdíl se může zdát malý, ve skutečnosti je ale velmi významný, protože RS se prakticky nevyskytuje u lidí, kteří EBV neprodělali. Proto se předpokládá, že virus u disponovaných jedinců může spustit autoimunitní reakci.
Významnou roli hraje také kouření. To nejen zvyšuje riziko vzniku RS, ale je spojeno i s těžším průběhem onemocnění. U kuřáků je vyšší pravděpodobnost, že relabující-remitující forma RS přejde do formy progresivní, a kouření je rovněž spojeno s rychlejším zhoršováním neurologického postižení.
Rizikovým faktorem může být i obezita v dětství a dospívání. Studie naznačují, že nadměrná tělesná hmotnost v těchto vývojově citlivých obdobích zvyšuje pravděpodobnost vzniku RS v dospělosti, pravděpodobně prostřednictvím chronického zánětu a změn v imunitní odpovědi.
Pozornost se v posledních letech věnuje také střevnímu mikrobiomu. Nerovnováha střevních bakterií může ovlivňovat fungování imunitního systému a přispívat k rozvoji autoimunitních onemocnění, včetně roztroušené sklerózy - blíže jsem psal zde. Výzkum v této oblasti stále probíhá, ale výsledky naznačují, že složení mikrobiomu může významně ovlivňovat průběh onemocnění.
Naděje v léčbě: od první linie k personalizované medicíně
Léčba roztroušené sklerózy prošla v posledních desetiletích zásadní proměnou. Zatímco dříve se lékaři zaměřovali hlavně na tlumení příznaků, dnešní léky zasahují přímo do mechanismu nemoci a dokážou její průběh ovlivnit a zpomalit. Díky nim se daří snižovat počet atak a oddalovat zhoršování neurologických funkcí. Prognóza pacientů se tak výrazně zlepšila a mnoho lidí může při včasné a správně vedené léčbě žít dlouhé roky plnohodnotný, aktivní život. Oproti minulosti dnes již velká část pacientů nekončí na invalidním vozíku, případně až po dlouhém trvání nemoci.
Současná léčba se zaměřuje na více oblastí: zvládání akutních relapsů, dlouhodobou terapii ovlivňující samotnou aktivitu onemocnění, úlevu od obtíží, které RS provázejí (například únavy, spasticity nebo bolestí), a také na rehabilitaci a další podpůrné metody. Stále častěji se uplatňuje volba léčby na míru konkrétnímu člověku, jeho typu RS, věku či životnímu stylu.
Ačkoli zatím neumíme RS vyléčit, dnešní medicína dokáže udělat mnohem více než kdykoli dříve. Pokračující výzkum přináší nové možnosti a posouvá hranice toho, jak dobře umíme tuto nemoc zvládat – což přináší naději všem, kteří s ní žijí.
Zdroje
Attfield, K.E., Jensen, L.T., Kaufmann, M. et al. The immunology of multiple sclerosis. Nat Rev Immunol 22, 734–750 (2022). https://doi.org/10.1038/s41577-022-00718-z
Boutitah-Benyaich, I., Eixarch, H., Villacieros-Álvarez, J. et al. Multiple sclerosis: molecular pathogenesis and therapeutic intervention. Sig Transduct Target Ther 10, 324 (2025). https://doi.org/10.1038/s41392-025-02415-4
Haki, Maha , et al. „Review of Multiple Sclerosis: Epidemiology, Etiology, Pathophysiology, and Treatment.“ Medicine, vol. 103, no. 8, 23 Feb. 2024, pp. e37297–e37297, www.ncbi.nlm.nih.gov/pmc/articles/PMC10883637/, https://doi.org/10.1097/md.0000000000037297.
Lassmann, Hans, et al. „Progressive Multiple Sclerosis: Pathology and Pathogenesis.“ Nature Reviews Neurology, vol. 8, no. 11, 25 Sept. 2012, pp. 647–656, www.nature.com/articles/nrneurol.2012.168, https://doi.org/10.1038/nrneurol.2012.168.
Shi, Mingzhi, et al. „Multiple Sclerosis: An Overview of Epidemiology, Risk Factors, and Serological Biomarkers.“ Acta Neurologica Scandinavica, vol. 2024, no. 1, Jan. 2024, https://doi.org/10.1155/2024/7372789.






